Casi Clinici
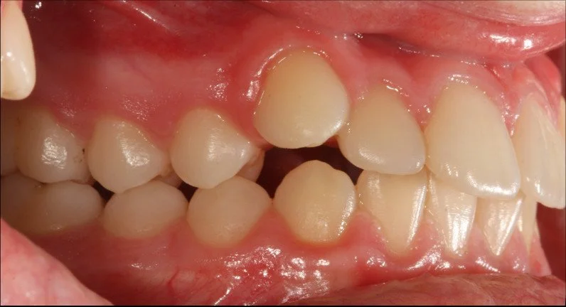
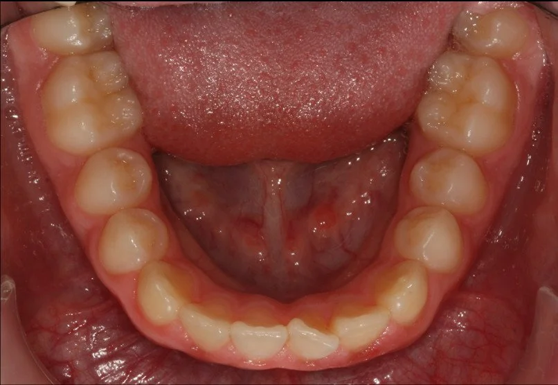
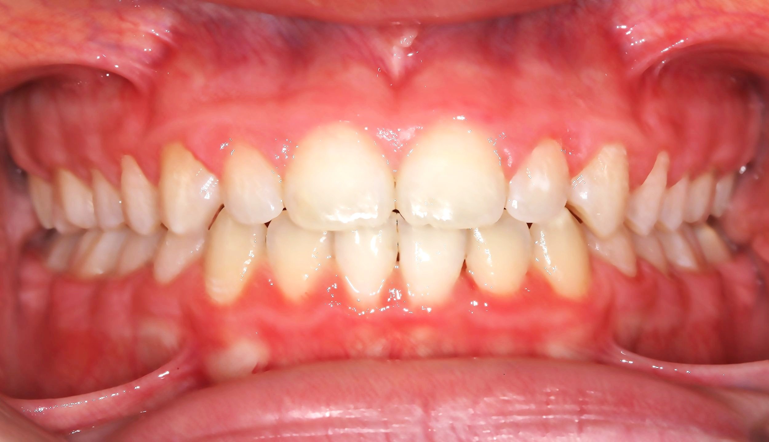
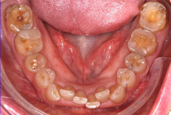
AFFOLLAMENTO INFERIORE
BEFORE
AFTER
Caso di affollamento e disallineamento dei denti dell’arcata inferiore. Con una serie di allineatori trasparenti, si è ottenuto un ottimo allineamento dentale.
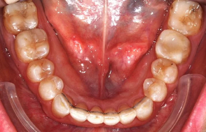
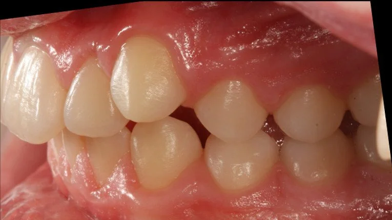
ORTODONZIA INTERCETTIVA + ALLINEAMENTO
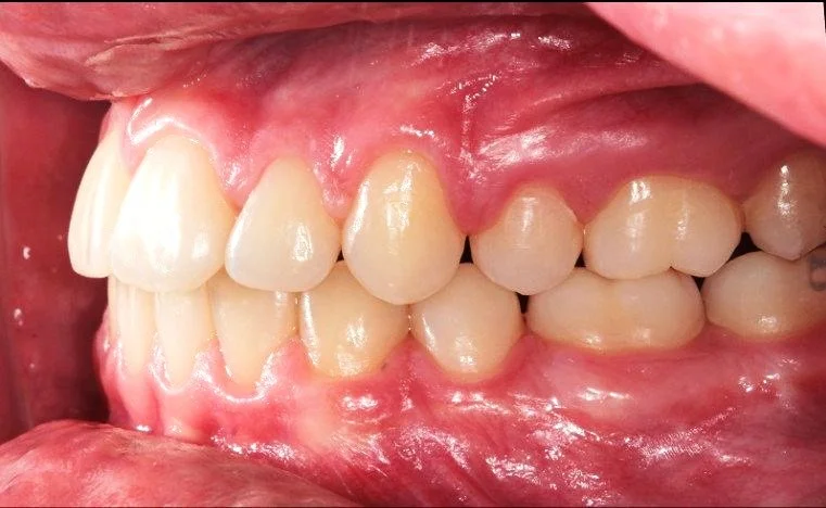
BEFORE
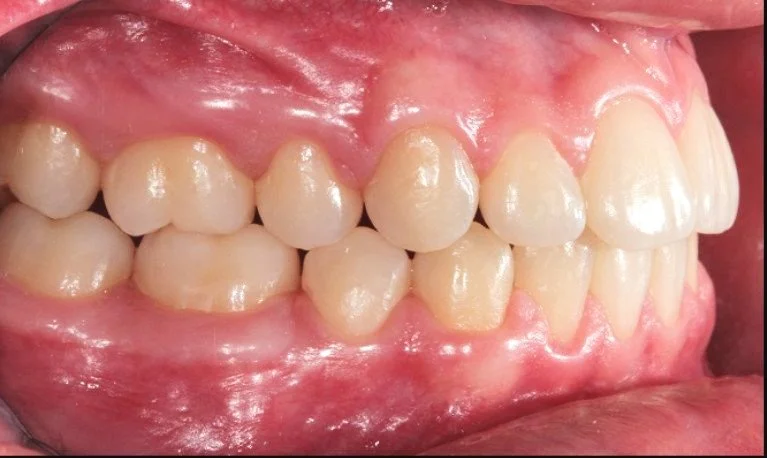
AFTER
Caso di una paziente con morso aperto iniziale e palato stretto, trattato in giovane età con terapia intercettiva mediante espansione rapida del palato. Successivamente, in adolescenza, è stata sottoposta a trattamento ortodontico fisso in dentatura permanente.
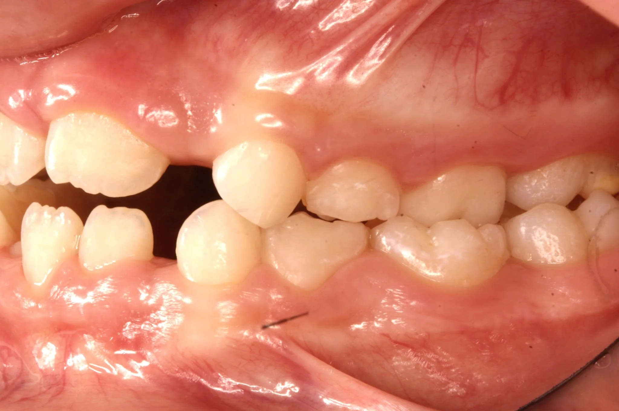
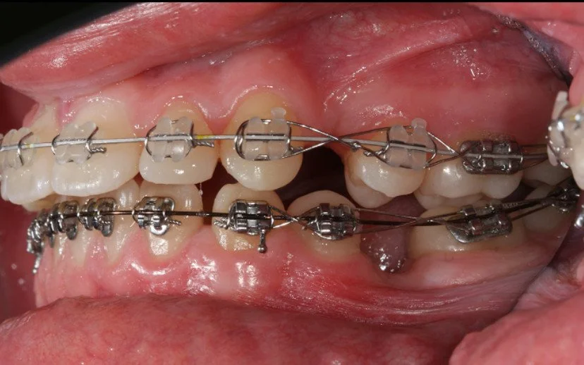
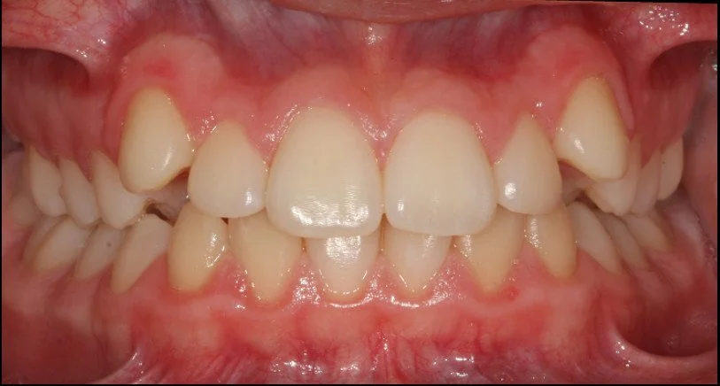
CASO ESTRATTIVO
In alcuni casi, per allineare correttamente i denti senza creare problemi come recessioni gengivali o danni all’osso di supporto, è necessario ricorrere a estrazioni strategiche. Questo accade quando lo spazio in arcata è insufficiente per accogliere tutti i denti in una posizione stabile e armoniosa. Estrarre alcuni elementi dentari permette di ottenere un risultato estetico e funzionale migliore, garantendo una masticazione corretta e preservando la salute dei tessuti gengivali e ossei.
BEFORE
DURING
AFTER
Trattamento con 4 estrazioni di una malocclusione di classe II con proclinazione degli incisivi superiori e inferiori.

